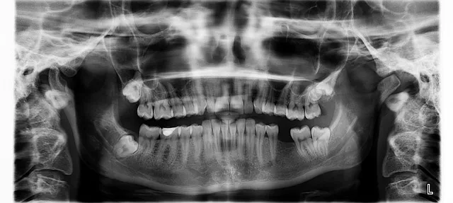
노인들의 치아 관리, 중요성과 관리 방법 알아보기

노인들은 치아 관리에 특별한 주의가 필요합니다. 노화로 인해 치아와 구강 건강이 약해지기 때문에 적절한 관리가 필요합니다. 노인들의 치아 관리의 중요성과 관리 방법에 대해 자세히 알아보겠습니다. 이 글을 읽고 치아 관리에 도움이 되었으면 좋겠습니다.
1. 일상적인 구강 위생 관리
노인들은 치아 건강을 유지하기 위해 일상적인 구강 위생 관리에 특별한 주의를 기울여야 합니다.
- 칫솔과 치약을 사용하여 매일 규칙적으로 치아를 닦는 것이 중요합니다. 칫솔은 소프트한 것을 선택하고, 치약은 치과 의사가 추천하는 것을 사용해야 합니다.
- 치실을 사용하여 치아 사이의 이물질을 제거하는 것도 중요합니다. 치실을 사용하는 방법에 대해서는 치과 의사의 조언을 따르는 것이 좋습니다.
- 구강 청결을 위해 구강 세척제를 사용할 수도 있습니다. 치과 의사와 상담하여 적절한 제품을 선택해야 합니다.
2. 올바른 식습관과 물 섭취
올바른 식습관과 충분한 물 섭취는 노인들의 치아 관리에 매우 중요합니다. 올바른 식습관을 유지하기 위해 다음 사항을 기억해야 합니다:
- 당분이 많은 음식과 과자, 캔디와 같은 단 음식을 가능한 한 피해야 합니다. 이러한 음식은 치아에 손상을 줄 수 있습니다.
- 식사 후에는 항상 물을 마시는 것이 좋습니다. 물은 치아에 남아 있는 음식 부분을 제거하고 구강 청결을 도와줍니다.
3. 정기적인 치과 검진과 치료
노인들은 정기적인 치과 검진과 치료를 받아야 합니다. 치과 의사는 치아와 구강 건강을 평가하고 필요한 치료를 제공할 수 있습니다.
- 구강 질환의 조기 발견과 예방에 도움을 줍니다.
- 치아와 구강 건강의 유지에 도움을 줍니다.
- 필요한 경우 치아 추출이나 치아 보철 등의 치료를 제공할 수 있습니다.
4. 보철의 관리
노인들이 보철을 가지고 있다면, 보철물을 적절히 관리하는 것이 중요합니다.
- 매일 보철물을 깨끗하게 유지하기 위해 부드러운 칫솔이나 보철용 칫솔을 사용해 닦아야 합니다. 치과 의사에게 추천받은 치약을 사용하여 보철물을 닦아야 합니다.
- 보철물 주변의 치아와 잇몸을 깨끗하게 유지하기 위해 치실이나 인터덴탈 브러시를 사용해야 합니다. 이를 통해 보철물과 치아 사이의 이물질을 제거할 수 있습니다.
- 보철물을 사용할 때 불편을 느끼거나 보철물에 문제가 생기면 반드시 치과 의사에게 상담해야 합니다. 보철물의 조정이나 수리가 필요할 수 있습니다.
이러한 방법을 따르면 보철물을 잘 관리할 수 있고, 보철물로 인한 불편과 문제를 최소화할 수 있습니다.
5. 이가 없는 노인들을 위한 음식 추천
이가 없는 노인들을 위해 다양한 음식을 소개합니다.
- 유제품: 유제품은 칼슘과 단백질을 풍부하게 포함하고 있어 치아와 뼈 건강을 도와줍니다. 우유, 요구르트, 치즈 등을 섭취하는 것이 좋습니다.
- 부드러운 과일: 사과, 배, 바나나와 같은 부드러운 과일은 노인들에게 좋은 선택입니다. 이런 과일은 씹기 쉽고 치아에 부담을 주지 않습니다.
- 채소 수프: 부드럽고 고소한 채소 수프는 영양을 공급하면서 치아에 부담을 주지 않습니다. 담백하고 부드러운 수프를 섭취해 보세요.
- 고기류: 부드러운 고기인 생선, 닭고기, 소고기 등은 고단백 저지방 식품으로 치아 건강을 도와줍니다. 조리 방법에 주의하여 부드럽게 조리해 주세요.
- 씹기 쉬운 곡물: 씹기 쉬운 곡물로는 쿠키, 크래커, 소프트 빵 등이 있습니다. 이런 음식은 노인들이 씹기 쉽고 소화하기도 쉽습니다.
하지만 음식 선택에는 개인의 상태와 선호도에 따라 다를 수 있으므로, 개별적인 상담을 받는 것이 좋습니다. 치과 의사나 영양사와 상담하여 적절한 음식을 선택하고 균형 잡힌 식단을 구성해 주세요.
맺는 글
노인들의 치아 관리는 중요한 문제입니다. 올바른 구강 위생 관리, 올바른 식습관과 충분한 물 섭취, 그리고 정기적인 치과 검진과 치료는 노인들의 치아와 구강 건강을 유지하는 데 도움이 됩니다. 노인들은 이러한 관리 방법을 따르면서 건강한 치아를 유지할 수 있습니다.
함께 보면 좋은 글
젊은 치매, 30~40대 급증, 혹시나 걱정이 태산!
현대 사회에서는 뇌 건강이 점점 더 중요해지고 있습니다. 최근 연구에 따르면, 노인성 질환으로 간주되던 치매가 30~40대에게까지 덮치고 있다는 사실이 밝혀져 충격적입니다. 이 글에서는 치매
gmind100.com
노인성 질환 예방과 관리, 건강한 노년을 위한 예방 방법
한국은 빠르게 고령화되고 있는 국가 중 하나입니다. 2018년에는 65세 이상 인구 비율이 14%를 넘어섰으며, 2025년에는 20%를 넘어 초고령 사회로 진입할 전망입니다. 노인성 질환에 대한 관심이 증
gmind100.com
영츠하이머, 20대 30대 청년 치매! 자가진단 방법
영츠하이머는 뇌의 과부하와 디지털 치매에 대한 경고입니다. 스마트폰 남용과 스트레스, 우울증, 과음이 주요 원인으로 언급되며, 특히 20~30대에서 이러한 증상이 자주 나타납니다. 나에게도
gmind100.com
젊은 치매 급증, 나이 따지지 않습니다. 자가진단법으로 알아보기
최근 젊은 치매의 발생률이 증가하고 있습니다. 뇌를 건강하게 유지하는 방법과 신체·정신 건강을 증진시키는 방법과 젊은 치매에 대한 정보를 알아보시고 자가진단을 통해 도움을 받을 수 있
gmind100.com
노인성질환 종류 특징 및 증상, 노화 과정 예방법 알아보기
노인성질환은 노화 과정에서 발생하는 건강문제입니다. 노인들의 삶의 질을 나쁘게 할 수 있습니다. 이 글에서는 노인성질환 종류 및 예방의 특징, 진료, 간호, 예방에 대해 알아보시고 도움이
gmind100.com
치매안심병원, 중증치매도 국가지원 혜택 있다!
가족 중에 치매 환자가 있다는 것은 마음 아픈 일입니다. 치매는 누구에게나 영향을 미칠 수 있는 질병이기 때문입니다. 치매는 환자에게 문제가 되지만, 가족 중 한 명이라도 환자가 되면 전체
gmind100.com
치매 산전특례제도, 진료비 절감, 신청하시고 혜택 받아가세요!
치매는 원인에 따라 뇌 기능이 저하되어 기억력을 포함한 인지 기능이 약해지는 상태입니다. 일상생활에 영향을 줍니다. 이번 글에서는 치매의 단계, 치료 비용, 그리고 중증 환자를 위한 산전
gmind100.com
연어필렛과 녹차의 힘, 생들기름, 일상 속 치매 예방 음식 5가지
치매는 예방이 중요합니다. 다양한 요인들을 연구해 온 결과, 최근에는 영양 섭취가 뇌 발달에 매우 중요하다는 것을 알게 되었습니다. 치매 예방을 위해 음식에 대해 알아보고 건강 관리에 도
gmind100.com
가족 간 치매, 갈등 폭발! 효과적인 대처법과 가족의 역할
치매 환자가 발생하면 가족들의 생활에 변화가 생깁니다. 우리는 치매가 단순히 환자의 병이 아니라 가족 전체에 영향을 주는 것을 인식해야 합니다. 치매는 환자의 병에 그치는 것이 아니라 가
gmind100.com
배우자의 치매, 나도 치매일까? 2배 높아, 가족 건강을 책임지는 방법
배우자의 치매 발병이 상대방의 치매 발병 확률을 높일 수 있다는 연구 결과가 발표되었습니다. 이 연구는 2021년에 서울대학교 분당병원 정신과에서 진행되었습니다. 배우자의 치매는 자신 또
gmind100.com
노인 우울증, 짜증이 난다. 건강한 노년을 위한 예방 및 극복 방법
우리의 많은 가족들은 노인이 된 부모님의 건강을 걱정합니다. 노인 우울증은 치매와 비슷한 증상을 보일 수 있습니다. 노인 우울증에 대해 살펴보고, 치매와의 차이점, 건강한 노년을 위한 예
gmind100.com
치매 진행 과정 3단계, 가족과 함께하는 치매 돌봄 방법
치매는 서서히 진행되는 질환입니다. 초기와 중기에는 다양한 증상이 나타나며, 말기에는 더욱 힘든 시기를 겪게 됩니다. 이 글에서는 치매의 세 단계를 살펴보고, 각 단계에서 주의해야 할 점
gmind100.com




댓글